Aparelhos dentários
Alinhe Seu Sorriso com Segurança:
Conheça os Tratamentos Ortodônticos
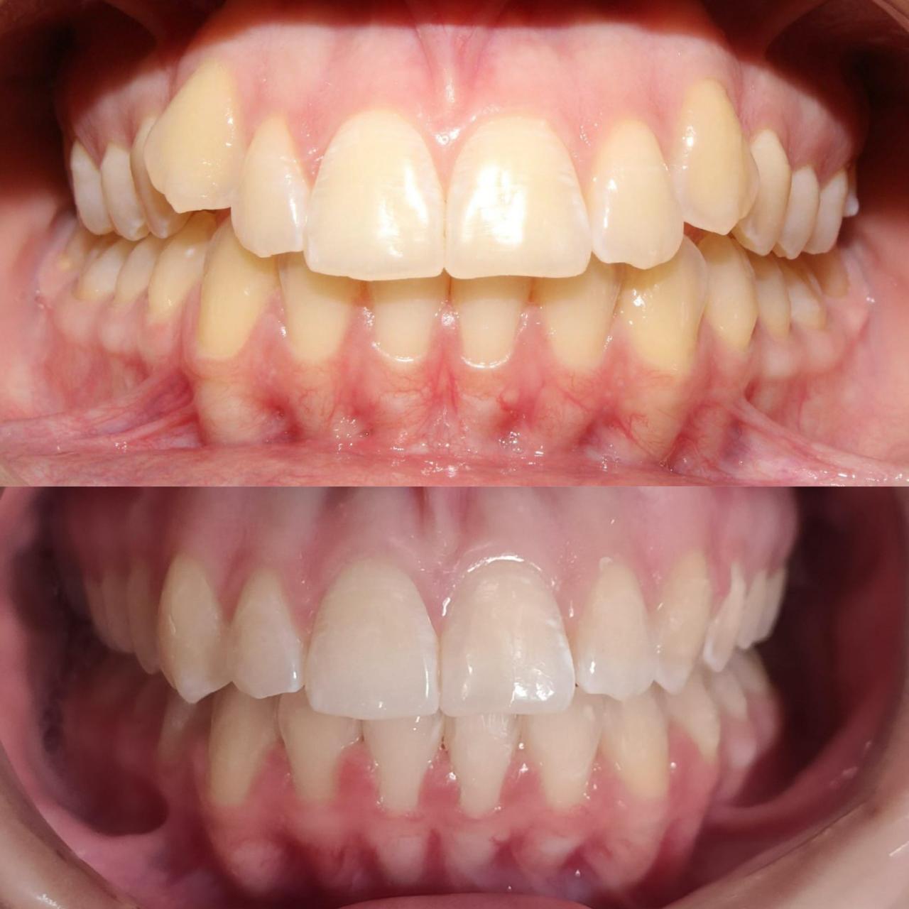
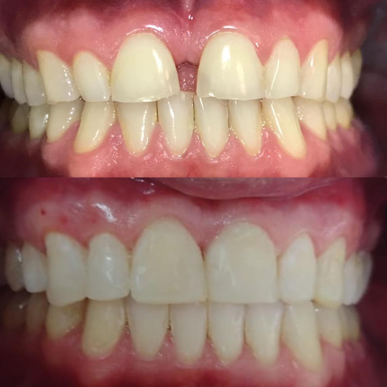
Você sabia que ter dentes bem alinhados vai muito além da estética? Um sorriso harmonioso também está diretamente ligado à sua saúde bucal, mastigação, respiração e até à sua autoestima. Com os tratamentos ortodônticos, é possível corrigir o posicionamento dos dentes e dos ossos da face, proporcionando benefícios duradouros para a saúde e beleza do seu sorriso.
Na nossa clínica, oferecemos diversas opções de aparelhos ortodônticos para atender às necessidades e expectativas de cada paciente — de crianças a adultos. Aqui, você encontra tecnologia, conforto e resultados comprovados.
O que é ortodontia?
A ortodontia é a especialidade da odontologia responsável por corrigir o mau posicionamento dos dentes e dos ossos maxilares. Dentes tortos, apinhados, separados ou uma mordida “errada” (como sobremordida ou mordida cruzada) podem causar problemas estéticos e funcionais.
Essas alterações podem afetar a mastigação, a fala, a respiração, e até levar ao desgaste dos dentes e dores na articulação da mandíbula. O tratamento ortodôntico visa reposicionar os dentes corretamente, promovendo saúde bucal e um sorriso mais bonito.
Como funciona o tratamento ortodôntico?
O primeiro passo é realizar uma avaliação completa com o ortodontista. Serão feitos exames clínicos, radiografias, fotografias e moldagens (ou escaneamento digital) para montar um plano de tratamento personalizado.
Com base nesse diagnóstico, o dentista escolhe o tipo de aparelho mais indicado para seu caso, e define o tempo estimado de tratamento. Em média, os tratamentos ortodônticos duram entre 12 e 36 meses, variando conforme a complexidade de cada paciente.
Durante o tratamento, o paciente realiza consultas periódicas para acompanhar a movimentação dos dentes e realizar os ajustes necessários.
Quais são os tipos de aparelhos ortodônticos?
Existem diferentes tipos de aparelhos, desde os mais tradicionais até os mais modernos e discretos. Conheça os principais:
- Aparelho fixo metálico — É o modelo mais conhecido e utilizado. Composto por bráquetes metálicos colados nos dentes e fios ortodônticos que fazem a movimentação. É eficiente, resistente e costuma ser mais acessível.
- Aparelho fixo estético — Tem a mesma função do aparelho metálico, mas é feito com materiais mais discretos, como porcelana ou safira. É indicado para quem busca mais discrição durante o tratamento.
- Aparelho autoligado — Parecido com o aparelho fixo, mas com um sistema de bráquetes que não usa borrachinhas para prender o fio. Isso reduz o atrito, acelera a movimentação dos dentes e exige menos manutenções.
- Aparelho móvel — Geralmente usado em crianças, para guiar o crescimento ósseo ou manter os dentes na posição correta após o uso de aparelho fixo. Também pode ser usado como contenção no final do tratamento.
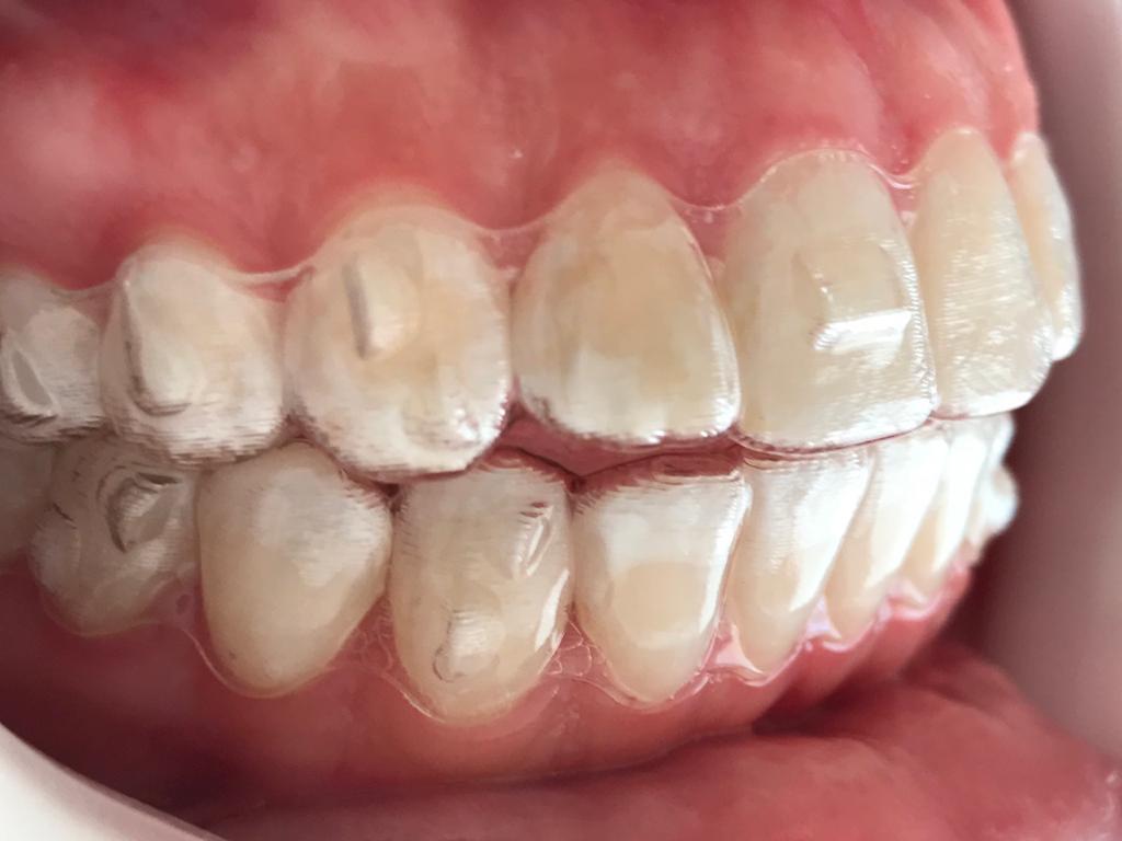
- Alinhadores invisíveis (como Invisalign) — São placas transparentes e removíveis feitas sob medida que alinham os dentes de forma progressiva. Extremamente discretos, confortáveis e fáceis de higienizar, os alinhadores são ideais para adultos que buscam uma alternativa estética e moderna.
Em alguns casos selecionados, é possível realizar o implante com carga imediata, onde a prótese é instalada no mesmo dia da cirurgia.
Quais são os benefícios da ortodontia?
- Alinhamento correto dos dentes
- Melhora na mastigação, fala e respiração
- Prevenção de desgastes e problemas na articulação da mandíbula
- Sorriso mais bonito e harmonioso
- Aumento da autoestima e confiança
- Facilidade na higienização bucal
Para todas as idades
Ao contrário do que muitos pensam, o tratamento ortodôntico não é só para crianças e adolescentes. Cada vez mais adultos têm buscado corrigir o sorriso com aparelhos estéticos ou alinhadores invisíveis, com excelentes resultados.
Agende sua avaliação e comece sua transformação!
Se você deseja alinhar seus dentes com conforto, segurança e tecnologia de ponta, agende agora sua avaliação com nossos especialistas. Estamos prontos para montar o melhor plano de tratamento para o seu sorriso.
Inova Odontologia– Seu novo sorriso começa aqui.
Veja o que os nossos pacientes estão dizendo
Assista:
Nossos Contatos
- (22) 2649-7431
- (22) 99929-1467
- [email protected]
- Av. Assunção, 18 – 22 – Centro, Cabo Frio – RJ, 28905-250



















